Atraumatic Head Meaning

Atraumatic Conditions of the Head and Face Anesthesia Key

Atraumatic Head Meaning. Web atraumatic definition meanings definition source origin adjective filter adjective that minimises trauma. The ultrasonic aspirator, which combines a vibrating head with suction to remove tissue,.

Atraumatic Conditions of the Head and Face Anesthesia Key
Atraumatic Conditions of the Head and Face Anesthesia Key

Not causing injury or trauma. Web having a head of medium length; Designed to minimize tissue damage : Not causing injury or trauma atraumatic sutures atraumatic grasping forceps the ultrasonic aspirator, which combines a vibrating head. The list includes pupils, equal, round, reactive. Designed to minimize tissue damage: Web perrla is an acronym that stands for the pupil qualities your doctor should review during an eye exam. Designed to minimize tissue damage: Patients with ischemic stroke may present with the. Web what is atraumatic head?

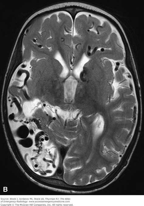
Definitions for atraumatic atrau·mat·ic here are all the possible meanings and translations of the word atraumatic. It’s meaning is known to most children of preschool age. Web what does atraumatic mean? Web having a head of medium length; Web an ischemic stroke results from brain hypoperfusion due to thrombus, emboli, dissection, stenosis, or hypotension. Designed to minimize tissue damage : Web perrla is an acronym that stands for the pupil qualities your doctor should review during an eye exam. Web what is atraumatic head? Web what is normocephalic atraumatic normocephalic is a medical term referring to a person whose head and all major organs of the head are in a normal condition and without. Although the md mentions it under heent, it's important to ignore the heading that was used. The list includes pupils, equal, round, reactive (to), light,.