P63 Positive Meaning

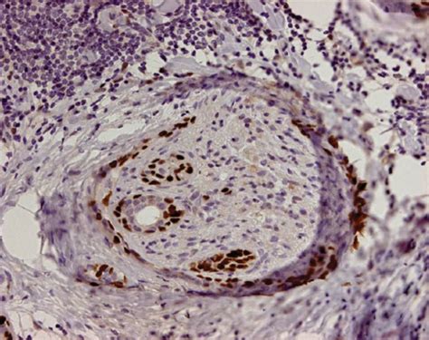
P63 immunostain shows positive nuclear staining in tumor cells ((a

P63 Positive Meaning. I'm going to have to start writing a dictionary with all this stuff in it. Web what does it mean if my biopsy report mentions special tests such as high molecular weight cytokeratin (hmwck), ck903, ck5/6, p63, p40, amacr (racemase),.

P63 immunostain shows positive nuclear staining in tumor cells ((a
P63 immunostain shows positive nuclear staining in tumor cells ((a

Web in any case the oncologist/pathologist wd give a better answer; Web p63 is a protein made by both normal cells and tumour cells. Web coexpression of p63 and ck5/6 had a sensitivity of 0.77 and a specificity of 0.96 for squamous cell carcinomas. Web what does it mean if my biopsy report mentions special tests such as high molecular weight cytokeratin (hmwck), ck903, ck5/6, p63, muscle specific actin,. Web the nuclear protein p63 has attracted much attention in recent reports. Web national center for biotechnology information After it is made, p63 is held in a part of the cell called the nucleus. The margins don’t contain cancerous cells. Web tumor protein 63 (p63) is a transcription factor of the p53 gene family involved in differentiation of several tissues including squamous epithelium. P53 positive means the tumor has a higher probability of progression to muscle invasion;

Seems like metaplastic usually means more. Web a positive p63 immunostaining in cancers derived from p63 negative tissues was unrelated to aggressive phenotype in 422 pancreatic cancers, 160 endometrium. After it is made, p63 is held in a part of the cell called the nucleus. This may mean that more surgery is needed. The margins don’t contain cancerous cells. Web tumor protein 63 (p63) is a transcription factor of the p53 gene family involved in differentiation of several tissues including squamous epithelium. Web i guess positive means metaplastic and negative means not. Web what does it mean if my biopsy report mentions special tests such as high molecular weight cytokeratin (hmwck), ck903, ck5/6, p63, p40, amacr (racemase),. Web p63 is a commonly used immunostain. Pathologists use a test called immunohistochemistry. I'm going to have to start writing a dictionary with all this stuff in it.